Нормальная анатомия и физиология яичников в репродуктивном возрасте
Прежде чем рассматривать патологические изменения, осветим нормальную анатомию яичника. Яичник женщины на момент рождения содержит свыше двух миллионов первичных ооцитов, около десяти из которых созревают в течение каждого менструального цикла. Несмотря на то, что зрелости достигают около десятка Граафовых фолликулов, только один из них становится доминирующим и достигает размера 18–20 мм к середине цикла, после чего разрывается, освобождая ооцит. Оставшиеся фолликулы уменьшаются в размерах и замещаются фиброзной тканью. После выхода ооцита доминантный фолликул спадается, в его внутренней выстилке начинается разрастание грануляционной ткани в сочетании с отеком, вследствие чего формируется желтое тело менструации. После 14 дней желтое тело претерпевает дегенеративные изменения, затем на его месте остается мелкий рубчик – белое тело.

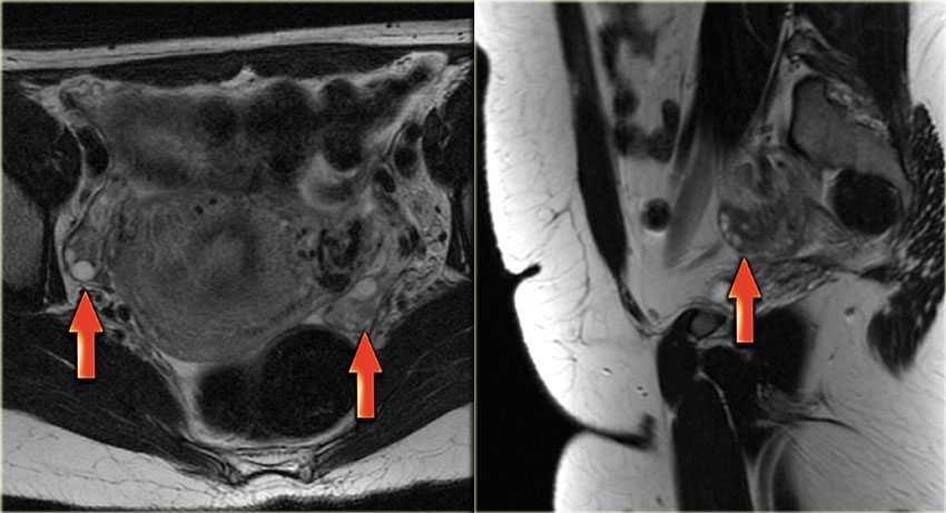
Граафовы фолликулы: небольшие кистозные образования, обнаруживаемые в структуре яичника в норме у всех женщин репродуктивного возраста (в предменопаузальном периоде). Размеры фолликулов варьируют в зависимости от дня менструального цикла: самый крупный (доминирующий) обычно не превышает 20 мм в диаметре к моменту овуляции (14-й день от начала менструации), остальные не превышают 10 мм.

УЗИ яичника в норме. На сонограммах визуализируются яичники, содержащие несколько анэхогенных простых кист (Граафовых фолликулов). Фолликулы не нужно путать с патологическими кистами.

Как выглядят яичники на МРТ? На Т2-взвешенных МР-томограммах Граафовы фолликулы выглядят как гиперинтенсивные (т.е. яркие по сигналу) кисты с тонкими стенками, окруженные стромой яичника, дающей не столь интенсивный сигнал.
В норме у некоторых женщин (в зависимости от фазы менструального цикла) яичники могут интенсивно накапливать радиофармпрепарат (РФП) при ПЭТ
Чтобы отличить данные изменения от опухолевого процесса в яичниках, важно соотносить их с анамнестическими данными пациентки, а также с фазой менструального цикла (яичники интенсивно накапливают радиофармпрепарат в его середине). Исходя из этого, женщинам до наступления менопаузы лучше назначать ПЭТ в первую неделю цикла
После менопаузы яичники практически не захватывают РФП, и любое увеличение его накопления подозрительно на опухолевый процесс.

ПЭТ-КТ яичников: повышенное накопление радиофармацевтического препарата (РФП) в яичниках у женщины в предменструальном периоде (вариант нормы).
Что делать, если овариальный резерв снижен
Восстановить в полной мере выработку яичниками ооцитов невозможно. Даже длительный прием гормональных средств не поможет повысить овариальный резерв. В связи с этим применяются технологии, позволяющие сохранить репродуктивную функцию.
Существует несколько методик, помогающих решить проблему бесплодия:
- Стимуляция овуляции с помощью гонадотропных гормонов. Их вводят в организм в определенные дни цикла. Если уже ранее проводились попытки стимуляции и ответ на введения отсутствовал, то данная методика применяться не может.
- Использование собственных законсервированных ранее яйцеклеток. Женщинам репродуктивного возраста перед химиотерапией могут предложить замораживание ооцитов для последующего их использования с целью ЭКО.
- Использование донорского биоматериала. Если репродуктивная функция женщины сохранена, но для зачатия не хватает овариального резерва, то может использоваться донорский материал в свежем или замороженном виде. В этом случае организму потребуется гормональная поддержка для вынашивания плода.
- Суррогатное материнство. Применение данной технологии может быть предложено женщине с гипофункцией яичников и неудачными попытками экстракорпорального оплодотворения. В этом случае плод будет развиваться в организме другой женщины, которая не будет ему биологической матерью.
Осложнения
Основным осложнением является бесплодие. При резком снижении запаса фолликулов не все циклы проходят с овуляцией.
Другим серьезным осложнением СОР следует назвать преждевременное истощение половых желез. В результате нарушается менструальная функция, которая постепенно угасает. Сниженный овариальный резерв способствует сокращению цикла, уменьшению количества выделений при месячных вплоть до полного их отсутствия.
При СОР отмечаются вегетативные проявления, связанные с наступлением менопаузы. Угасание функционирования яичников оказывает влияние на деятельность других систем организма.
Низкий уровень эстрогенов провоцирует нарушение электролитного баланса, что приводит к хрупкости костей, патологии со стороны сердца и сосудов.
Какие кисты бывают и почему они образуются?
Кисты яичников бывают разного размера и происхождения, могут располагаться внутри яичника и на его поверхности. От этих характеристик зависит тактика лечения, вероятность возникновения осложнений и злокачественного перерождения.
Основные причины возникновения кист
Киста яичника — это заболевание, на вероятность возникновения которого влияет множество факторов. Среди них:
- гормональные нарушения и эндокринные заболевания (так как все гормоны в организме плотно взаимодействуют друг с другом, то нарушения в работе, например, щитовидной железы может повлиять на возникновение проблем с менструальным циклом);
- отсутствие беременностей в репродуктивном возрасте;
- аборты;
- перенесенные воспалительные заболевания органов половой системы, венерические болезни;
- раннее наступление менопаузы.
Каждый из перечисленных факторов не является непосредственной причиной возникновения кист яичника, однако оказывает влияние на процесс кистообразования (при наличии данного фактора киста яичника может образоваться с большей вероятностью).
Виды кист
Кисты яичника по происхождению делят на две большие группы: функциональные кисты и кистозные новообразования. Функциональные кисты образуются чаще и формируются из естественных структур яичника (фолликула и желтого тела) в результате физиологических процессов в организме женщины. Они чаще всего самостоятельно исчезают в течение 2-3 менструальных циклов, почти всегда бессимптомны, а их размер редко превышает 2,5 см.
Кистозные новообразования, в свою очередь, состоят из различных типов клеток, их формирование не относится к физиологическим циклам в организме женщины. Кисты, относящиеся к группе новообразований, могут расти до внушительных размеров и перерождаться в злокачественные опухоли.
В таблице 1 приведена характеристика наиболее часто встречающихся видов кист.
| Вид | Основная характеристика и причины возникновения |
|---|---|
| Функциональные кисты | |
| Фолликулярная киста | Формируется в процессе менструального цикла из фолликула. В результате нарушения процессов выработки гормонов, регулирующих процесс овуляции, не происходит выхода яйцеклетки из созревшего фолликула, и последний продолжает расти. |
| Киста желтого тела | Желтое тело формируется после овуляции на месте созревшего фолликула. В норме, если не произошло оплодотворение, желтое тело постепенно рассасывается в течении 14 дней. Если яйцеклетка была оплодотворена, желтое тело функционирует до 14 недель беременности. Если желтое тело в случае отсутствия оплодотворения самостоятельно не рассасывается, продолжает расти и достигает размеров более 3 см — такое образование принято считать кистой желтого тела. |
| Кистозные новообразования яичника | |
| Дермоидная киста | Относится к доброкачественным образованиям из половых клеток (наиболее часто встречающийся тип из этой группы) и может содержать внутри различные ткани организма — волосы, мышцы, зубы, ногти. Из-за склонности к неограниченному росту и содержания большого количества жировой ткани, киста может быть довольно подвижной, что создает опасность перекрута яичника. |
| Эндометриоидная киста | Возникает вследствие эндометриоза яичника — когда клетки эндометрия, в норме выстилающие внутреннюю поверхность матки, обнаруживаются в тазу за ее пределами. Так как ткань идентична ткани в полости матки, то ежемесячные кровотечения из очага эндометриоза приводят к образованию полости, заполненной кровью. Такая киста также опасна возможным перекрутом яичника, разрывом с последующим излитием содержимого в брюшную полость. |
Существуют и другие виды кист, например, заполненные гнойным содержимым в результате воспалительных заболеваний органов малого таза, а также сформированные в результате развития злокачественной опухоли.
Формы кисты яичника
- Фолликулярная киста — образуется из фолликула (пузырька) — вместилища для созревающей яйцеклетки. В норме фолликул, достигнув определенной зрелости, лопается, и яйцеклетка выходит в брюшную полость, что называется овуляцией. Если фолликул продолжает увеличиваться в размерах и своевременно не разрывается, говорят о формировании фолликулярной кисты, иначе называемой аваскулярным образованием.
- Киста желтого тела — образуется при скоплении жидкости и крови в месте лопнувшего фолликула.
- Простая (серозная) киста — пузырь, сформированный из серозной ткани (покрывающей яичники снаружи), заполненный прозрачной жидкостью.
- Параовариальная киста — плотное, малоподвижное образование возле яичника, представляющее собой тонкостенную камеру с прозрачной жидкостью с небольшим содержанием белка. Такая киста развивается из придатка яичника и находится между маточной трубой и яичником. При УЗИ рядом с кистой данной формы, как правило, ткань яичника хорошо просматривается.
Первые признаки миомы матки
В начальной стадии миома матки небольших размеров заметными симптомами не сопровождается. Обнаружить его можно при очередном гинекологическом осмотре.
По мере роста миомы матки могут возникать первые признаки:
- длительные, обильные и нерегулярные менструации;
- запоры;
- бесплодие;
- кровотечения;
- анемия;
- частое мочеиспускание;
- тяжесть и постоянная боль внизу живота;
- кровянистые выделения при половом акте;
- боль в пояснице;
- увеличение живота не связанное со значительной прибавкой в весе;
- частые выкидыши.
Чем опасна миома матки на ножке? При перекручивании «ножки» происходит воспаление и разрыв опухоли. Это вызывает сильнейшее кровотечение, острую боль внизу живота и лихорадку. Такое состояние может закончиться летальным исходом.
Щитовидная железа и ее дефекты
Об анэхогенной патологии щитовидной железы говорят в том случае если во время УЗИ ультразвуковой сигнал не отражается от некоторого из ее участков. Оно может быть как нормой, так и нуждаться в специализированном лечении. В железе оно возникает в нормальных тканях, ее появление провоцируют сосуды, так же эффект «черного рисунка» могут давать внутриузловые сосуды.
Подобные узлы в щитовидной железе могут возникать из-за появления скопления коллоида в фолликулах. Скопление появляется из-за нарушения кровотока в одной из долей щитовидной железы. Более чем в 90% случае оно является доброкачественным.
ВАЖНО! Коллоид — тягучая жидкость розового цвета с однородной структурой.
Анэхогенное образование щитовидной железы бывает следующим:
- Истинная киста — имеет четко очерченные границы, представляет собой полость заполненную жидкость;
- Псевдокиста — представляет собой трансформированный узел или аденому, возникает из-за кровоизлияния вовнутрь узла;
- Боковая шейная киста — имеет косвенное отношение к железе, так как расположена рядом с ней, при активном росте иногда провоцирует сдавливание органа.
Важно! Анэхогенные образования, диагностированные у пациентов старше 50 лет, в большинстве случаев являются злокачественными.
Как предупредить развитие рака яичников
Рак яичника – очень опасное злокачественное образование. Развивается долго, не давая никаких симптомов, поэтому часто, на момент постановки диагноза, опухоль находится в такой крайней степени развития, что не дает шансов на выздоровление.
Наши женщины по-прежнему обходят гинекологический кабинет стороной, что приводит к высокой смертности в результате рака яичников
Тогда как чтобы не пропустить болезнь, важно систематически проходить обследования с УЗИ у врача-гинеколога. В первую очередь это касается женщин, которые относятся к группе повышенного риска: находящимся в менопаузе, подвергавшимся стимуляции яичников, имеющим семейные случаи рака яичников
Также нужно регулярно обследовать яичники женщинам, прошедшим курс лечения другой онкологии.
Дермоидная киста
Дермоидная киста является доброкачественным опухолевидным образованием в яичнике, которое есть еще во время рождения девочки и может увеличиваться в размерах при половом созревании. Может показаться странным, однако иногда в этой кисте выявляются совсем неожиданные ткани: зубы, волосы, костная ткань или хрящ. Это можно объяснить тем, что в период образования данной кисты (еще при внутриутробном развитии) в ней находились стволовые клетки, способные дать начало абсолютно любой ткани организма.
Единственная методика лечения дермоидной кисты — это хирургическое вмешательство. Вылечить этот вид кисты при помощи таблеток сегодня невозможно.
Карцинома (злокачественная киста)
Карцинома или злокачественная киста яичника отмечается достаточно редко. Повышенная вероятность развития онкологии яичника имеется у женщин, у которых родственницы болели онкологией яичников или онкологией груди, а также у пациенток, которые никогда не рожали. Симптоматика злокачественной кисты яичника такова:
- слабость;
- боли внизу живота;
- головные боли;
- снижение массы тела.
Карциному яичника лечат только при помощи операции. После удаления новообразования могут быть назначены препараты, уничтожающие онкологические клетки (химиотерапия), а также облучение яичников (радиотерапия).
Анэхогенность — черное пятно на карте здоровья
Участки, которые не способны отражать ультразвуковые волны, называются анэхогенными, или эхонегативными. Они отображаются на мониторе УЗИ-аппарата в чёрном цвете. Эхогенность отсутствует и у жидкостей, поэтому они изображаются так же.
Часто обнаруженные анэхогенные участки свидетельствуют о наличии кистозных образований. Кисты небольшого размера (до 5 см в диаметре) регрессируют через несколько месяцев. Большие образования оказываются толерантными к специальной терапии.
У пациентов старше 50 лет такая «находка» во время УЗИ говорит, как правило, об образовании злокачественного характера. Его несвоевременное лечение опасно для жизни. Немедленное лечение необходимо при осложнениях опухоли в почках: пиелонефрите, мочекаменной болезни или артериальной гипертонии.






























