Виды операций и процедуры
Существует несколько способов проведения гистерэктомии, и какой из них лучше всего подходит для пациентки, зависит от причины процедуры, перенесенных ранее операций, наличия других заболеваний и опыта оперирующего хирурга.
Абдоминальная гистерэктомия
Удаление матки через разрез внизу живота проводится под общим наркозом.
Перед операцией мочевой пузырь опорожняется путем введения катетера через уретру. Катетер удаляют через 2–3 дня.
После дезинфекции операционного поля врач делает разрез внизу живота и вскрывает брюшную стенку. Матка удаляется полностью после отделения от соседних органов (мочевого пузыря, толстой кишки) и перевязки кровеносных сосудов.
Вместе с маткой иногда необходимо удалить и яичники (гистерэктомия с аднексэктомией).
При необходимости ставится пластиковый дренаж, позволяющий стекать секретам и крови.
Вагинальная гистерэктомия
Это удаление матки через влагалищный канал.
Процедура более сложная, но менее травматичная, поэтому выздоровление и продолжительность госпитализации короче по сравнению с абдоминальной гистерэктомией.
Операция проводится через влагалищный канал, без разреза живота. Связки матки разделяются, и орган вытягивается через влагалище.
Лапароскопическая гистерэктомия
Лапароскопическая хирургия — это процедура, при которой специальные лапароскопические инструменты и камеры вводятся через небольшие хирургические разрезы в брюшной полости, чтобы можно было видеть внутреннюю часть человеческого тела на экране.
Возможны комбинации лапароскопической хирургии с вагинальным введением.
Лапароскопия в последнее время стала общепринятым методом для ряда операций, потому что она менее травматичная. После нее быстрее происходит восстановление.
Все операции обычно длятся не более двух часов.
Какие заболевания приводят к удалению матки?
Причины могут быть разные, и для удобства мы разделим их на три группы.
Доброкачественные нарушения– к ним относятся проблемы женской половой системы, не связанные с перерождением клеток в опухолевые.
Гиперпластический процесс эндометрия, или его бесконтрольный рост – это когда слизистый слой превышает стандартные 12-13 см и не успевает отторгаться маткой во время месячных. Обычно женщину при этом беспокоят нарушения графика критических дней и кровотечения, которые случаются между менструациями или во время их, но длятся непривычно долго, а иногда не прекращаются вообще. То, что слизистая превышает нормальную толщину, врач может увидеть во время стандартного осмотра с помощью УЗИ.
Когда пациентка приходит с такой проблемой, то вначале проводится малая гинекологическая процедура: берется материал для гистологического анализа, чтобы выявить природу клеток эндометрия и установить уровень опасности.
Для этого применяется метод диагностического выскабливания – берутся клетки, выстилающие внутреннюю поверхность матки и шейки. Другой способ – аспирационная биопсия: для забора ткани применяется пайпель, пластиковая трубка 3-4 мм в диаметре, конструкция которой позволяет создавать вакуум и втягивать в себя микрочастицы эндометрия.
Случается и так, что в теле матки по причинам, связанным с гормональными нарушениями, образуются одно или несколько уплотнения разной величины – миомы. Выявив такую проблему, врач назначит препараты для остановки этого процесса, и будет следить за увеличением образований. Может быть сделана операция по их удалению с сохранением органа. Если же они снова активно растут или провоцируют кровотечения, а также если в этих тканях происходит процесс некроза, или отмирания, тогда может возникнуть необходимость удаления матки.
Кровяные выделения при аденомиозе матки происходит, когда эндометрий на стенках органа не увеличивается в толщину, как это происходит при гиперплазии, а проникает внутрь, в мышечную ткань, и нарушает ее нормальную структуру.
Вначале доктор применяет медикаментозное лечение каждого из этих заболеваний. Если кровотечение не удается остановить, тогда с целью улучшения качества жизни и для ее сохранения проводится удаление матки. Пациентке репродуктивного возраста будет предложено наиболее щадящее удаление – надвлагалищное, с сохранением придатков, чтобы сохранить работу эндокринной системы.
Условно злокачественные
Пограничным, или предраковым заболеванием является атипическая гиперплазия эндометрия.
Если анализы ее подтвердили, тогда показано полное удаление матки с придатками. Также существует и применяется другой способ – процедура прижигания слизистого слоя, или вапоризация эндометрия. Проблема в том, что прижигание, во-первых, не устраняет причину заболевания, а во-вторых, оно не позволяет врачу убедиться, правильно ли сделано прижигание, вся ли ткань удалена, так как визуальному контролю мешают кровяные выделения в этой области.
Практика показывает, что если это действительно подтвержденная атипическая гиперплазия, то ее лучше удалить, чтобы рост этой ткани не возобновился и клетки не превратились в опасные.
Злокачественный процесс
Это раковые заболевания женских органов:
- фаллопиевых труб;
Рак яичников
11 марта 20211209
Например, при раке яичников будет проведена дополнительная операция – удаление большого сальника, потому что из-за него раковые клетки могут метастазировать в другие органы.
При раке шейки и тела матки также удаляются тазовые лимфоузлы, чтобы уменьшить риск разрастания опухоли за пределами органа.
Иногда расширенная экстирпация делается с частичным удалением влагалища.
Придатки в некоторых случаях можно сохранить даже при первой стадии рака шейки матки: во время операции яичники подшиваются к передней брюшной стенке, на них ставятся клеммы – металлические зажимы для защиты от лучевой терапии, и это позволяет сохранить гормональный фон пациентке, отсутствие которого плохо сказывается на здоровье и самочувствии.

Типы гистерэктомии
Есть несколько типов операций гистерэктомии. Гистерэктомия может просто означать удаление матки, или это может означать удаление матки, шейки матки и яичников. Кроме того, она может быть выполнена несколькими способами. Во-первых, давайте перечислим типы гистерэктомии:
— Радикальная гистерэктомия матки. При этой операции шейка матки и яичники удаляются.
— Гистерэктомия. При простой гистерэктомии матка и шейка матки удаляются.
— Частичная гистерэктомия. При частичной гистерэктомии удаляется верхняя часть матки, оставляя шейку матки и яичники без изменений.
И есть несколько способов, которыми операция может быть выполнена, некоторые более агрессивные методы, другие малоинвазивные, более щадящие для пациентов:
— Лапароскопическая гистерэктомия. Это любая гистерэктомия, выполняема с помощью лапароскопических инструментов, которые вводятся через крошечные разрезы в брюшной полости под контролем крошечной видеокамеры, изображение с которой выводится на монитор.
— Вагинальная гистерэктомия. Эта гистерэктомия осуществляется полностью через разрез, сделанный во влагалище.
— Абдоминальная гистерэктомия. Эта гистерэктомия выполняется при помощи разреза в брюшной полости. Разрез может быть сделан либо вертикально из области лобковой кости вверх по направлению к пупку, или он может быть горизонтальной линией вдоль бикини.
Подготовка к операции
Женщину госпитализируют в стационар за день до хирургического вмешательства. До этого никакой подготовки дома не нужно, врач лишь порекомендует диету, чтобы кишечник своевременно опорожнялся.
Накануне и утром проводят очистительную клизму. Предварительно с женщиной беседует анестезиолог, выясняет, есть ли у нее хронические заболевания, аллергия на лекарства. В день операции нужно принять душ и сбрить волосы в области половых органов. Затем проводят премедикацию — вводят препараты, которые помогают успокоиться, расслабиться. Нужно помочиться. Затем женщину на каталке отвозят в операционную.
Гистерэктомия — важные вопросы к вашему доктору
Перед тем, как решиться на операцию гистерэктомии, убедитесь, что ваш хирург ответил на ваши вопросы полностью. Это список вопросов, которые вы, возможно, захотите задать вашему доктору:
— Какие структуры или органы вы собираетесь удалять?
— Какой подход вы будете использовать? Лапароскопический, открытый, вагинальный, комбинацию методов?
— Какие побочные эффекты считаются нормальными?
— Какие выделения или кровотечения считаются нормальными после этой процедуры?
— Какие симптомы должны насторожить, чтобы я пошела в отделение неотложной помощи или позвонить моему хирургу?
— На какой вид разреза я могу рассчитывать?
— Где будет расположен разрез?
— Как долго я буду находиться в больнице?
— Как скоро я смогу вернуться к работе?
— Когда я смогу вернуться к своему нормальному уровню активности?
— Нужен ли мне мазок Папаниколау после операции?
— Существуют ли какие-либо особые предписания, которые мне нужно будет выполнять после операции?
— Когда я смогу заниматься сексом?
Причина
Женщины, у которых была проведена гистерэктомия, не могут забеременеть и могут испытывать раннюю менопаузу. В результате, где это возможно, врач, скорее всего, будет избегать рекомендации гистерэктомии кому-то, у кого ещё не наступила менопауза.
Однако врач может посоветовать женщине пройти гистерэктомию, если у нее присутствует одно или несколько из следующих состояний:
- необычно тяжелое влагалищное кровотечение
- хроническая тазовая боль
- миома матки, представляющая собой доброкачественные новообразования, развивающиеся в матке
- выпадение матки, происходящее, когда матка опускается во влагалище
- эндометриоз, вызывающий рост эндометрий — внутренней оболочки матки за пределами матки
- аденомиоз, состояние, при котором эндометрия врастает в стенки матки
- рак матки, шейки матки, яичников или эндометрия
Гистерэктомия: показания
Такие методы, как гистерэктомия матки лапароскопическим, абдоминальным, или влагалищным способом показаны женщинам, страдающим следующими патологиями:
- при раке матки, раке шейки матки – в соответствии со стадией онкопатологии и ее распространенностью гистерэктомия может проводится как самостоятельно, так и в качестве одного из компонентов комплексного лечения (наряду с химио- и лучевой терапией);
- при миоме, фибромиоме матки – гистерэктомия нередко является единственным методом, позволяющим радикально решить проблему обильных маточных кровотечений, анемии, тазовых болей и прочих проявлений данной доброкачественной опухоли;
- при эндометриозе – операция проводится при отсутствии эффективности консервативной терапии и типичных хирургических вмешательств при разрастании эндометроидной ткани в матке и за её пределами — в маточных трубах, яичниках, органах брюшной полости и др.;
- при постоянных и обильных влагалищных кровотечениях, приводящих к развитию стойкой анемии и не поддающихся консервативному лечению.
Методы проведения гистерэктомии
Лапаротомный доступ позволяет хирургу удалить матки (шейку и придатки) через разрез в брюшной стенке в нижней части живота (10-20 см).
Недостаток лапаротомической гистерэктомии в высокой травматичности операции, болях в восстановительном периоде, которые требуют применения анальгетиков.
Лапароскопическая гистерэктомия проводится через три небольшие прокола (в области пупка и внизу живота). Хирург манипулирует инструментами под контролем оптики, которая выводит изображение на экран. Таким образом достигается малая травматичность и короткий период восстановления, небольшие кровопотери, хороший косметический эффект, а также лучшая визуализация при увеличении изображения, которая позволяет действовать, с одной стороны, адресно, с другой стороны — не упустить детали.
Гистерэктомия влагалищным доступом проводится через разрез в верхней трети влагалища, таким образом, швы и рубцы на передней брюшной стенке отсутствуют. При преимуществах данного метода (малая травматичность, низкая кровопотеря, быстрое восстановление) следует также учесть, что операция возможна при достаточном объеме влагалища и умеренных размерах матки. Максимальный вес матки, удаленной гинекологами ЛДК «Медгард» влагалищным доступом составляет 860 гр.
Противопоказания к лапароскопической гистерэктомии
Лапароскопический метод удаления матки не подходит для женщин в следующих ситуациях:
- при больших размерах матки, которую невозможно удалить через небольшие проколы;
- при объемных образованиях в маточных трубах и яичниках, которые не поддаются извлечению целиком эндоскопическими инструментами;
- при выпадении матки, для удаления которой в таком случае более простым и безопасным методом считается вагинальная гистерэктомия.
До проведения хирургического вмешательства женщине назначается комплексное обследование организма, в которое входят лабораторные анализы, гинекологический осмотр, ультразвуковая диагностика и электрокардиограмма сердца. В случае необходимости назначается медикаментозная терапия препаратами, действие которых направлено на уменьшение размеров матки и предупреждение развития анемии.
Развитие пролапса стенок вагинального канала после экстирпации матки
Полное удаление матки — серьезная и радикальная мера, к которой можно прибегнуть, тщательно взвесив все возможные последствия и реально оценивая риск при отказе от операции. Гистерэктомию проводят в основном женщинам в позднем репродуктивном возрасте или после наступления менопаузы. Основными показаниями для проведения подобной операции являются злокачественные и доброкачественные опухоли, запущенные случаи аденомиоза, миомы матки, а также опущение или выпадение матки. В последнем случае экстирпация органа – наилучший вариант, особенно после 60-70 лет, когда ослабевший организм уже не способен восстановить все свои функции и осуществлять нормальную поддержку органов малого таза.
В обычных условиях матка является своеобразным держателем для свода влагалища, который при помощи фасций мышечно-связочного аппарата поддерживается в анатомическом положении. По сути, влагалище – это толстая мышечная трубка, составляющая единое целое с внутренней репродуктивной системой женщины. Опущение влагалища после удаления матки становится неизбежным по причине травмирования тазовой клетчатки, а также в тех случаях, когда патология начала развиваться задолго до операции
Следует отметить, что во время проведения гистерэктомии, врач должен обратить особое внимание на анатомическое положение стенок вагинального канала и достаточно прочно зафиксировать купол влагалища, чтобы избежать нежелательных последствий
После удаления матки при достаточной фиксации влагалища во время операции опущение все равно может возникнуть по причине ведения особого образа жизни так или иначе связанного с сильными физическими нагрузками и приемом неправильного питания, вызывающего сильные запоры.
Нередко пролапс влагалища вызывается опущением органов после удаления матки в свободную полость, оставшуюся после операции. В таких случаях часто развивается цистоцеле или ректоцеле — опущение передней или задней стенок вагинального канала вместе с мочевым пузырем или частью кишечника соответственно.
Пролапс, как правило, сопровождается различными неприятными симптомами, которые заставляют женщину испытывать сильный дискомфорт. Во-первых, ощущается присутствие чего-то лишнего в вагинальном канале, как будто сидишь верхом на шаре. Часто этот процесс сопровождают сильные боли, задержка или, наоборот, недержание мочи, частое мочеиспускание, проблемы с дефекацией. При полном выпадении влагалища после удаления матки, слизистая его стенок подвержена сильным травмам, что влечет за собой развитие инфекционных заболеваний, абсцесса и даже, отмирания тканей.
Поздние осложнения
- Осложнения мочевыводящих путей. Осложнения со стороны мочевыводящих путей могут появиться в раннем или позднем периоде. Поздние осложнения включают стеноз мочеточника, приводящий к гидронефрозу, и разницу в размерах почек с определенным уменьшением пораженной. Обе эти особенности могут быть оценены с помощью обычного трансабдоминального УЗИ. Однако КТ с введением контрастного вещества позволяет исследовать функцию почек — в случае патологий органа наблюдается задержка работы по сравнению со второй почкой.
- Повреждение кишечника. Позднее осложнение кишечника — непроходимость в основном из-за спаек. Спайки являются наиболее частой причиной обструкции этого органа после операции и основной долгосрочной причиной повторного вмешательства после операции на брюшной полости и тазовой области. Спайки могут способствовать полной, периодической или неполной непроходимости кишечника. Подозрение на непроходимость тонкой кишки вследствие спаек возникает, когда все другие причины были исключены при КТ. Основные аномалии включают узкую переходную зону без видимых изменений, резкое изгибание петли тонкой кишки и искажения натяжения. В неотложных случаях подозрение на кишечную непроходимость также можно поднять на основании обычных рентгенограмм, которые показывают расширенные кишечные петли с уровнями жидкости и газа.
Обструкция кишечника у женщины после лапароскопической резекции кисты эндометрия яичника. A и B. Горизонтальный газ-жидкость в расширенных петлях тонкой кишки (звезды) и грыжа, образованная в разрезе (стрелка), визуализируемая на КТ-изображениях в осевой и фронтальной плоскостях.
Свищ. Отдаленное осложнение, часто следствие повреждения кишечника или мочевых путей. Это происходит в основном после операций из-за злокачественных опухолей и после лучевой терапии. МРТ является тестом выбора из-за более высокого пространственного разрешения по сравнению с КТ. Например, в отношении перианального свища он обеспечивает отличную чувствительность и специфичность (100% и 86% соответственно). Канал фистулы можно оптимально отобразить на стандартных изображениях, в виде гиперинтенсивного канала, заполненного жидкостью, часто окруженного реактивной воспалительной жировой тканью, которая появляется в виде смежных гиперинтенсивных полос.
В случае активного воспалительного процесса фистулу можно также визуализировать после введения контрастного вещества в виде гипоинтенсивного канала с усиливающей стенкой. После тазовой хирургии образуются преимущественно пузырно-влагалищные и ректо-вагинальные свищи, но также могут возникать кишечно-кожные, кишечно-мочевой пузырь, кишечно-влагалищные и другие свищи.
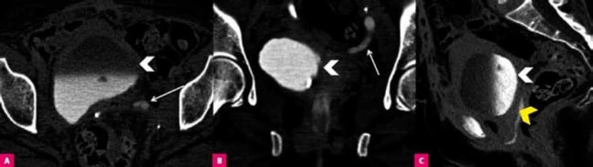
Если есть подозрение на пузырно-влагалищный или мочеточниковый свищ, проводится КТ, обеспечивающее прямую оценку свищевого канала, заполненного контрастным веществом, в поздней секреторной фазе. Если подозревается наличие свища между кишечником (кишечные петли или прямая кишка) и влагалищем, может оказаться полезным контрастирование пероральное и ректальное (через катетер).

Уретеро-вагинальный свищ у женщины после операции по поводу рака шейки матки. КТ-изображения в осевой (A), фронтальной (B) и сагиттальной (C) плоскостях показывают контрастную мочу в мочевом пузыре (белая стрелка) и заполненную контрастом полость между мочеточником и влагалищем (желтая стрелка), вкупе с расширением левого мочеточника (стрелка)
Опыт и последствия гистерэктомии
- Большинство женщин решают пройти операцию по одной из перечисленных выше доброкачественных причин, которые создают серьезные проблемы в их жизни, например, обильные и частые кровотечения, боль и т. д. Исчезновение неприятных симптомов улучшает качество их жизни.
- Без матки нет возможности забеременеть.
- Если яичники были удалены вместе с маткой, наступит менопауза. Пациентке может потребоваться заместительная гормональная терапия. У женщин, которым не удаляли яичники, наступает менопауза на несколько лет раньше, чем ожидалось.
- Женщина без матки не теряет своей женственности. Но осознание отсутствия детородного органа, может привести к психологическим проблемам. Они проявляются как ощущение постоянной потери и уменьшение желания полового акта.
Дают ли инвалидность после удаления матки и яичников?
Даже после столь радикальной операции, женщинам обычно не дают инвалидность — ведь удаление репродуктивных органов, как правило, никак не влияет на её трудоспособность. Для присвоения группы инвалидности должны быть веские основания, такие как потеря:
- способности к самообслуживанию;
- общению;
- ориентации;
- обучению;
- передвижению;
- контролю над собой.
При правильно проделанной операции и соблюдении пациенткой всех врачебных рекомендаций, ни одно из вышеперечисленных осложнений не возникает.

В любом случае, решение о присвоении человеку инвалидности принимают сотрудники бюро медико-социальной экспертизы (МСЭ).
Вопрос эксперту
2 месяца я перенесла операцию по удалению матки вместе с придатками по причине онкологического процесса. Назначена лучевая терапия. Была на УЗИ, в заключении написано – свободная жидкость в малом тазу. Это очень опасно, и связано ли с операцией?
Да, этот диагноз, наиболее вероятно, связан с оперативным вмешательством. Выделяющаяся жидкость, скорее всего, является лимфой и связана с удалением подвздошной группы лимфоузлов. Лучевая терапия должна помочь делу, поспособствовав закупорке лимфоидных сосудов. Обратитесь к вашему лечащему врачу, возможно, придется избавиться от лишней жидкости через пункцию влагалища.
Показания к удалению матки
Развитие негативных процессов в полости матки, шейки и придатках может угрожать здоровью и жизни женщины.
Показаниями для ампутации матки являются такие состояния, как:
- злокачественные уплотнения в детородных органах (фаллопиевых трубах, полости матки, цервикальном канале, яичниках);
- доброкачественные новообразования (миома), которые быстро растут или имеют размер больше 12 недель беременности;
- разрастание клеток внутреннего слоя матки за пределами органа – эндометриоз, аденомиоз;
- полное или частичное выпадение матки из влагалища;
- некротические процессы в узлах доброкачественных новообразований;
- субмукозная миома – появление доброкачественных узлов в подслизистом слое полости матки, что быстро растут;
- обильные кровопотери при родовой деятельности, неподдающиеся остановке консервативными способами.
Подготовка к операции
Гистерэктомия — плановое вмешательство. Женщине заранее назначают дату госпитализации: операция будет выполнена в тот же или на следующий день. Нужно обязательно рассказать врачу об имеющихся аллергических реакциях на лекарственные препараты и латекс, хронических заболеваниях, о лекарствах, которые принимает пациентка. Препараты, снижающие свертываемость крови, возможно, придется на время отменить, так как в противном случае операция будет сопровождаться риском большой кровопотери.
Перед гистерэктомией женщина проходит предоперационное обследование, которое включает:
- Общий и биохимический анализ крови.
- Общий анализ мочи.
- Исследование свертываемости крови, коагулограмму.
- УЗИ органов малого таза.
- Исследования на инфекции: ВИЧ, сифилис, вирусные гепатиты, мазок на флору, трихомониаз, гонорею, ПЦР на хламидиоз.
- Цитологический мазок из шейки матки.
- ЭКГ.
- Консультацию терапевта и, при необходимости, других специалистов.
Список исследований и анализов может быть расширен, если женщина страдает сердечно-сосудистыми патологиями, заболеваниями органов дыхания, сахарным диабетом
Если планируется удаление матки вагинальным доступом, предварительно важно выявить и устранить очаги инфекции во влагалище
Накануне нужно сбрить волосы в области лобка, промежности. Гистерэктомию выполняют под общей анестезией, поэтому за 8–10 часов до операции нельзя ничего есть и пить. Помимо хирурга, предварительно пациентку консультирует врач-анестезиолог. В некоторых случаях можно применить спинальную анестезию. Анестетик вводят в спинномозговой канал под оболочки спинного мозга в области пояснице, при этом нижняя половина тела теряет чувствительность, а женщина остается в сознании.
Вагинальная гистерэктомия
Вагинальная гистерэктомия (влагалищная гистерэктомия) – это операция по удалению матки, проводится через разрез во влагалище. Показаниями для вагинальной гистерэктомии служат доброкачественные опухоли матки небольших размеров, опущение матки или ее выпадение. При таком виде оперативного вмешательства, как вагинальная гистерэктомия, возможно удаление яичников и матки.
Вагинальная гистерэктомия не проводится, если есть подозрения на злокачественную опухоль матки или яичников, на эндометриодные новообразования, когда матка сильно увеличена, в случае если женщина больна гриппом или есть другие воспалительные процессы, если женщина беременна.
Вагинальная гистерэктомия проводится через небольшой разрез в верхней части влагалища. Продолжительность операции от двух до трех часов. Операция проводится под общим наркозом, техника проведения операции считается сложной. Такая операция проводится в 30 случаях из ста. Одна из положительных сторон – женщина быстро восстанавливается после операции вагинальной гистерэктомии. Последствия такого метода могут проявиться в виде осложнений — травмы органов, кровотечения, так как хирург не имеет достаточного обзора органов малого таза. Но есть и положительные стороны — операция переносится легко, отсутствуют швы на передней стенке брюшины, слабая послеоперационная болезненность.
Противопоказания для процедуры
Несмотря на то, что ампутация является практически всегда последней инстанцией для помощи при обнаруженной аномалии, она тоже имеет несколько ограничений.
Речь идет о ситуациях, когда вред вмешательства значительно превышает потенциальную пользу. При подобном раскладе разумнее будет устранить все сдерживающие факторы, либо попытаться воздействовать на первоисточник заболевания другим способом.
Удаление станет невозможным, если у женщины диагностируют острый или обострение хронического инфекционного процесса, воспаления по гинекологической части, тяжелую патологию экстрагенитального типа, беременность, которая протекает вполне нормально. Особенного внимания заслуживает лапароскопический ход операции, имеющий ряд отдельных противопоказаний из-за особенностей пути проникновения.
Ограничения затрагивают большой размер маточного тела, крупные опухоли яичников, спаечный процесс с локализацией в брюшной полости, выпадение матки.
Перечисленное выше является непреодолимой преградой технического спектра. Имеются специальные противопоказания, если вмешательство планируется производить через влагалище.
Речь идет о злокачественных новообразованиях как в самой матке, так и ее шейки. Среди прочих запретов для влагалищного типа доступа выделяют:
- спайки;
- крупные миомы;
- проведенное кесарево сечение.
Чтобы исключить все риски, исходящие от противопоказаний, потребуется уделить время на тщательно проведенный подготовительный этап.






























